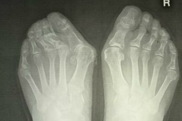
外反母趾は症状、変形、疼痛の痛みの具合は様々です。
変形症状に至る原因は不適切な靴が原因です。
足に合わない靴、誤った対処(インソール・・・など)での悪化にご注意ください。
外反母趾(がいはんぼし) オーダー靴 オーダーメイドシューズ
外反母趾は疼痛(とうつう)、痛みの伴う方が多く
不適切な足の環境の靴などによって身体が痛みとして知らせてくれています。
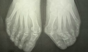
外反母趾の問題は疼痛(とうつう)、痛みだけではありません。
・外反母趾での疼痛(とうつう)
・外反母趾に悪条件、神経障害、神経の麻痺
・外反母趾の変形症状による身体を支える機能の低下、消失
・外反母趾を庇う歩行動作から膝や腰、股関節に無理を与え、悪くしてしまう
思いもよらない症状。
・巻き爪
・ハンマートゥ
・モートン病
・足の関節炎など
これらは外反母趾の方に見る外反母趾以外に抱える悩みや症状などです。
外反母趾は足に合わない無理な靴、足に強いる不適切な足の環境の影響を続き発症、悪化を続けます。
私どもでは外反母趾のメカニズムを履物、靴に原因があると考えています。
足に痛みや外反母趾などの原因を持つことの無いように
おひとりお一人の方の足に合わせ靴を作ります。
足の最適な環境を靴に履いていただくことで痛みの緩和、解消にお役立ていただきます。
外反母趾の悪化を防ぎ、靴を履いて痛みの原因を作らない靴を作成します。
|外反母趾診療ガイドライン引用
外反母趾診療ガイドラインに見る
医療、医学の見解
足に合う靴・靴型からフル オーダーメイドシューズ
|外反母趾と靴の危険
外反母趾と靴の関係
最適な靴を履いて健康に
足に合う靴・靴型からフル オーダーメイドシューズ
|外反母趾と靴の危険
外反母趾と靴の関係
最適な靴を履いて健康に
足に合う靴・靴型からフル オーダーメイドシューズ
|フル オーダーメイドシューズ
健康に本来の靴の役割は大切です。
痛みや悩みの原因、悪化を防ぐ最適な足の安心を。
足に合う靴・靴型からフル オーダーメイドシューズ
靴型から足に合わせるオーダーメイドシューズ
静岡・藤枝
フル オーダーメイドシューズ 靴 友樹 ゆうき
静岡県藤枝市高洲32-31
TEL 054-636-7462
090-3855-0793

