外反母趾などにならないための靴づくり
私どもで足に合わせ靴を作られた方は外反母趾を悪化させることなく、快適な靴との関係をその使用時に実感していただける特別な時間をお過ごしいただいています。
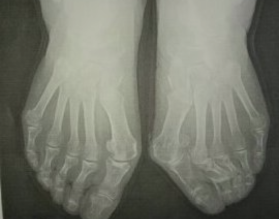
外反母趾など足の指付近の関節の変形のほとんどの症状は靴に起因し、足に合うことの無い靴が原因で発症し、悪化していきます。
それら原因を作ることなく靴を作るためには足に掛かる負いな負荷を確実に回避して守る特殊技術の開発が不可欠でした。
単に足に合わせれば良いということでは防ぐことの出来ない負担を足に与えることなく靴と関係を適切に、適した環境として苦痛の使用時に継続できるだけの技術。
その環境を作り出す技術が大きな役割として外反母趾など足のお困りには重要な意味を持ち、安心と安全性を確かなこととしてくれます。
痛みへの安心は緩和、解消に繋げていただくことの出来る特殊技術で靴が作られるため、外反母趾などに対応した靴としてご愛顧いただいています。
数多くの外反母趾などにお困りの方に足や外反母趾などに合わせ靴を作ってきました。
まず必要とされること、皆さんのご要望は・・・
『外反母趾の痛みのない靴!』
『痛くならない靴!』
とのご要望が一番多いです。
そのためには・・・足のカタチと変形具合に合わせ靴を作ることで多くの方がお困りになっている足の痛みの緩和と減少、解消にいつなげることが出来ます。
靴の中で足はおおきな負荷と負担を受け続けてしまっています。
そのため足の痛みを生み、外反母趾などの変形に至っていき、悪化を続けてお困りの方が多いことが靴と足の関係上の問題となっています。




