靴の害、外反母趾
靴の健康被害、外反母趾。
外反母趾の痛みで悩む方が多いのですが、それ以上に・・・
外反母趾の痛み・・・
痛みと靴が切り離せない辛い悩みをお持ちの方、
生活面、自由を奪われ苦しんでいる方も少なくありません。
ご相談者の多くの方が
歳を重ねながら足に適切な環境の靴を求める事が出来ず
痛みを増し、変形症状、体を支える事が大変になり
歩行の困難、膝や腰などの痛みの発症に。
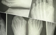
外反母趾の問題は痛みだけではありません。
その変形症状から多くの身体の不具合と
ほかの症状、病気を発症させてしまう方、
歳を重ねて健康、生活、行動の自由を奪われて
行く方が多いです。
外反母趾の痛みや悩みに
靴型から足に合う靴を作成。
ご相談ください。
外反母趾対策
Hallux valgus
足に合わせられた靴は残念ながら販売されていません。
自分の足と購入時、選んだ靴がどれだけ足に合わない、
不適切であるのかを実際は知っておきたい大切な事です。
既製品の靴、市販の靴の目的は商用。
製造は安価に靴を作り易くし、
人の足に適した環境を求める事よりも
かっこよくや綺麗、可愛さを人の目に訴え、
靴選びの際に靴の中に足が入らなければ売れにくいので、
「 大は小を兼ねる 」本当の足とのフィット性を
求められる靴作りはされていません。
足に合わせられる必要最低限の条件と素材や加工、デザイン・・・と
様々に人の履くこと、健康に理由と役割を備える靴でありたいモノです。
外反母趾対策を真剣に、本当に望むのであれば
その現実は市販の靴、既製品の靴で可能な靴選びは
絶対にありません。
靴を履くことで健康に影響を強め、
症状や悩みを歳を重ね増やしていくことは
現代の靴社会、靴選び、靴の志向では必至です。
少しの悩みがほかの悩みとつながるのも靴のリスク、危険でもあります。
靴を買う、選ぶのではなく、
外反母趾の対策として
それは商用とした靴作り。
足と健康に不適切、外反母趾など
人の健康を害する事、
暮らしを脅かされる原因となる事を
無責任にも、肯定した職業意識、道徳。
人の足はおひとりお一人が違い、
その違いに最適な足の環境を作ることは
とても大切です。
健康は特に靴が原因で悪くし続けます。
今後の暮らしに大きく影響する為、
適切な環境を足に求める事が
実際は外反母趾予防の最低の条件です。
外反母趾予防
外反母趾対策
